Phẫu thuật cấy ghép 3 trụ implant cho bệnh nhân
Chiều nay ngày 11/7/2025 - đội ngũ các y bác sĩ phòng khám Răng Hàm Mặt của Bệnh viện Quân Y4 chúng tôi vừa tiến hành phẫu thuật cấy ghép 3 trụ implant cho bệnh nhân
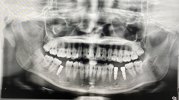
Bệnh nhân nữ 20 tuổi, bị mất 3 răng r35,36,45. Sau khi tiến hành thăm khám, chụp phim X-quang đã được đội ngũ các y bác sĩ lên kế hoạch điều trị và cấy ghép implant để thay thế những chiếc răng mất, giúp bệnh nhân đảm bảo được hiệu quả ăn nhai tuyệt đối và thẩm mỹ, tránh các biến chứng nặng nề do mất răng gây ra kịp thời
![]()
Nếu bạn đang bị mất răng lâu năm mà vẫn chưa tìm được địa chỉ trồng răng uy tín, hãy tới ngay Phòng khám Răng hàm mặt của Bệnh viện Quân đoàn 4, tại đây bạn sẽ được:
Các bác sĩ thăm khám và kiểm tra tình trạng răng miệng
Chụp phim X-Quang và các cận lâm sàng cần thiết phục vụ điều trị
Lên kế hoạch cấy ghép implant
Được thực hiện bởi 100% đội ngũ bác sĩ uy tín, tận tâm, nhiều năm kinh nghiệm
Chi phí giá cả hợp lý


Để đặt lịch tư vấn, xin liên hệ:
BS.Tùng 0989.114.758
BS.Tuấn 0853.333.079
BS.Hiệp 0857.102.536
ĐC: Bệnh viện Quân Y4- 137 DT 743-KP.Thống Nhất- P.Dĩ An- TP.HCM