MÁY CT SCANER 16 LÁT (R)
Khi nền kinh tế phát triển, trình độ nhận thức con người được nâng cao, nhu cầu chăm sóc và bảo vệ sức khỏe càng được quan tâm hơn. Cùng với sự phát triển của khoa học kỹ thuật, trên thế giới nói chung và ở nước ta nói riêng lĩnh vực y tế chăm sóc sức khỏe con người luôn được đầu tư và quan tâm một cách thích đáng.
Bệnh viện Quân y 4 Cục Hậu cần Quân đoàn 4 với đội ngũ bác sĩ chuyên khoa, điều dưỡng, kỹ thuật viên chuyên nghiệp lành nghề được đào tạo cơ bản chuyên sâu tại các trường có uy tín của Quân đội; là một bộ phận không thể thiếu trong thu dung, cấp cứu, chẩn đoán và điều trị cho cán bộ, chiến sĩ và nhân dân trên địa bàn đóng quân. Với trình độ chuyên môn cao, kinh nghiệm dày dặn, cán bộ nhân viên Bệnh viện luôn tiếp thu nắm bắt các kỹ thuật mới phức tạp dần làm chủ và tiến tới làm chủ hoàn toàn khoa học kỹ thuật và công nghệ mới.
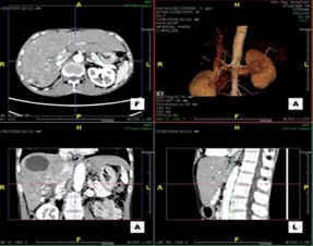
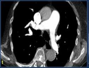
Những năm vừa qua được sự quan tâm của thủ trưởng các cấp cùng với sự đầu tư của Đảng ủy, Ban giám đốc Bệnh viện trong chẩn đoán và điều trị, bệnh viện đã trang bị nhiều máy móc hiện đại, trong đó đặc biệt có máy CT Scanner 16 Slice SIEMENS của Cộng Hòa Liên Bang Đức, cùng với sự chuyển giao kỹ thuật, công nghệ mới, các bác sỹ và kỹ thuật viên đã làm chủ hoàn toàn các kỹ thuật phức tạp mà chỉ có tuyến tỉnh và trung ương mới đáp ứng được như: Chụp CTscanner có thuốc cản quang gan ba thì, ổ bụng, lồng ngực, sọ não, hệ mạch máu bụng, chậu, chi…Trong thu dung cấp cứu, máy CT Scanner càng phát huy thế mạnh trong chẩn đoán chấn thương sọ não, chấn thương bụng kín…
![]() | ![]() |
![]() | ![]() |
![]() | ![]() |
![]() | ![]() |
![]() | ![]() |









